Powrót do artykułu Kryptosporidioza gadów

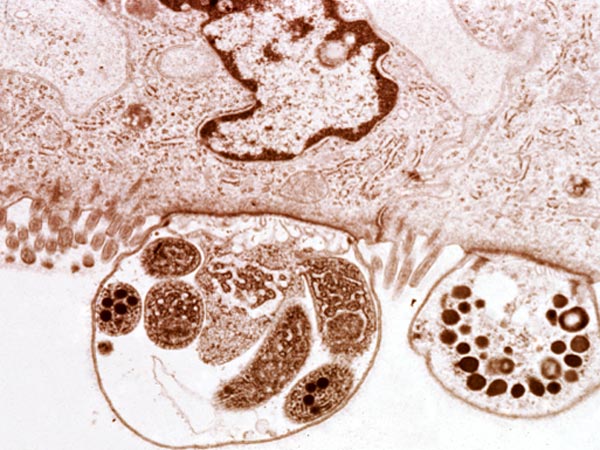
Rysunek 1. Stadia rozwojowe Cryptosporidium sp. – Kryptosporidioza gadów

Fot. Thaddeus K. Graczyk

Liczba wyświetleń: 238

Rysunek 1. Stadia rozwojowe Cryptosporidium sp.  – Kryptosporidioza gadów

Dodaj swoje przemyślenie na temat artykułu