Hormony regulujące pobieranie pokarmu u gadów
Podstawową funkcją układu pokarmowego jest pobieranie pokarmu oraz wody, trawienie, a następnie przyswajanie składników odżywczych. Przewód pokarmowy powiązany jest z ważnym narządem jakim jest trzustka. Na przestrzeni przewodu pokarmowego oraz w trzustce występują komórki (nazywane dalej komórkami endokrynnymi) wydzielające hormony. Hormony te wpływają znacząco na funkcjonowanie całego organizmu, jednak tu zostaną opisane te które odgrywają znaczącą rolę w pobieraniu pokarmu.
Innym hormonem, którego wydzielanie stwierdzono w komórkach trzustki, jest grelina zlokalizowana w piątym z kolei typie komórek trzustkowych. Grelinę zidentyfikowano w żołądku szczura i człowieka. Jej nazwa odnosi się do jednej z funkcji pełnionych przez ten hormon, związanej z uwalnianiem hormonu wzrostu. Bardzo istotny jest wpływ greliny na pobieranie pokarmu – zwiększa ona łaknienie. Grelina może także wpływać na zwiększenie masy tkanki tłuszczowej.
Budowa trzustki na przykładzie ssaków
Trzustka jest gruczołem składającym się z części wewnątrzwydzielniczej (produkującej hormony) oraz zewnątrzwydzielniczej (odpowiedzialnej za produkcję soku trzustkowego).
Trzustka ssaków zawiera w swoim zrębie rozsiane, liczne i stosunkowo luźno ułożone skupienia komórek (wyspy trzustkowe). Występują cztery rodzaje komórek tworzących wyspy trzustkowe, są to komórki typu A, B, D i PP. Położony centralnie typ B otaczają komórki typu A oraz komorki D i PP. Komórki typu A wydzielają glukagon wzmagający glikogenolizę w wątrobie i mięśniach (chroni on organizm przed skutkami spadku poziomu glukozy w okresie między posiłkami lub w trakcie wysiłku), ponadto rozszerzający naczynia wieńcowe i tętnice w dużym obiegu krwi. Ogółem można przyjąć, iż glukagon mobilizuje rezerwy energetyczne. Komórki B produkują insulinę. Efektem działania insuliny jest obniżenie poziomu glukozy we krwi. Ponadto hamuje wykorzystywanie rezerw tłuszczowych. Komórki D wydzielają hormon jakim jest somatostatyna blokująca wydzielanie hormonu wzrostu przez przysadkę mózgową oraz hamuje wydzielanie insuliny, glukagonu i polipeptydu trzustkowego. Somatostatyna występuje również w komórkach błony śluzowej przewodu pokarmowego. Czwarty typ komórek endokrynnych (wydzielających hormony) trzustki wydziela polipeptyd trzustkowy (PP). Jego sekrecja zwiększa się po posiłku zawierającym białko oraz w trakcie głodzenia czy wysiłku fizycznego, ponadto opóźnia on wchłanianie składników pokarmowych. PP hamuje także rozwój nabłonka przewodu pokarmowego.
Hormony odkryte w ostatnich latach, będące przedmiotem licznych badań i publikacji.
Kolejny hormon występujący w trzustce: obestatyna jest produktem genu kodującego także grelinę. Jej nazwa pochodzi od łacińskiego słowa „obedere” oznaczającego „pożeranie” lub „pochłanianie”. W przeciwieństwie do greliny obestatyna tłumi pobieranie pokarmu oraz wpływa na obniżenie masy ciała.
Nazwa hormonu leptyny pochodzi od greckiego słowa leptos, którego odpowiednikiem jest przymiotnik „cienki” lub „szczupły”. Jest ona produktem genu ob zidentyfikowanego u myszy. Uważana jest za czynnik związany z pobieraniem pokarmu, otyłością czy kontrolą masy kości. Komórkami wydzielającymi leptynę są adipocyty (komórki tłuszczowe). Hormon ten ma ujemy wpływ na pobieranie pokarmu (jest hormonem anorektycznym).
O ile liczne badania prowadzone na ssakach definiują funkcje wymienionych powyżej hormonów u tych zwierząt o tyle u gadów funkcje te nadal są przedmiotem dyskusji.
Podstawową funkcją układu pokarmowego jest pobieranie pokarmu oraz wody, trawienie, a następnie przyswajanie składników odżywczych. Przewód pokarmowy powiązany jest z ważnym narządem jakim jest trzustka. Na przestrzeni przewodu pokarmowego oraz w trzustce występują komórki (nazywane dalej komórkami endokrynnymi) wydzielające hormony. Hormony te wpływają znacząco na funkcjonowanie całego organizmu, jednak tu zostaną opisane te które odgrywają znaczącą rolę w pobieraniu pokarmu.
Badania nad komórkami wydzielającymi hormony regulujące pobieranie pokarmu w przewodzie pokarmowym i trzustce gadów
Badania komórek endokrynnych (wydzielniczych) przewodu pokarmowego gadów ujawniły obecność komórek wydzielających gastrynę i somatostatynę występujących w jelicie cienkim. Prowadzono je na wężach: żmii żebrowanej (Vipera aspis) i dwóch gatunkach zaskrońców – zwyczajnego (Natrix natrix) i żmijowego (Natrix maura). Kolejne szeroko zakrojone badania nad kajmanem szerokopyskim (Caiman latirostris) wykazały obecność w komórkach żołądka i jelita serotoniny, somatostatyny, gastryny, motyliny, neurotensyny, polipeptydu trzustkowego, glukagonu trzustkowego, enteroglukagonu, glicentyny, sekretyny i cholecystokininy. Wyniki te poparły dalsze badania prowadzone na tkankach przewodu pokarmowego (przełyku, żołądka i jelita) scynka kolczastoogonowego (Egernia kingi). Kolejne opracowania koncentrowały się na wymienionych wyżej typach komórek, przewód pokarmowy dzielono jednak na coraz krótsze odcinki w celu precyzyjnej charakterystyki każdego z nich, przykładem są prace w których podzielono przewód pokarmowy (od przełyku po odbyt) jaszczurki trawnej (Takydromus wolteri) na sześć części. Do puli komórek występujących w przewodzie pokarmowym gadów dodano komórki wytwarzające grelinę i występujące w żołądku i jelicie grubym żółwia czerwonolicego (Trachemys scripta elegans).
Już wczesne badania komórek endokrynnych (wydzielających hormony) występujących w trzustce gadów dowodzą występowania trzech ich typów: wydzielających insulinę (typ B), glukagon (typ A) i somatostatynę (typ D). Badaniami objęto 5 gatunków: jaszczurkę zwinkę (Lacerta agilis), agamę stepową (Agama sanguinolenta), warana szarego (Varanus griseus), zółwia stepowego (Agrionemys horsfieldii) i żółwia kaspijskiego (Mauremus caspica). Późniejsze badania prowadzone nad biczogonem egipskim (Uromastyx aegyptius) i scynkiem tęczowym (Mabuya quinquetaeniata) oraz nad anolisem zielonym (Anolis carolinensis) prócz wymienionych wcześniej trzech typów ujawniają także obecność komórek wydzielających polipeptyd trzustkowy (typ komórek PP). Potwierdzają to wyniki badań kolejnego gatunku żółwia, który można uznać za modelowy dla badań molekularnych prowadzonych na gadach – żółwia czerwonolicego (Trachemys scripta elegans). Obecność identycznych typów komórek endokrynnych w trzustce wykryto także u węży: pończosznika (Thamnophis sirtalis) oraz krokodyla nilowego (Crocodilus niloticus) i u kajmana okularowego (Caiman crocodilus) oraz co obrazują najnowsze badania u gekonów z rodzaju Phelsuma (Phelsuma lineata, Phelsuma madagascariensis, Phelsuma dubia, Phelsuma abbotti), u dwóch przedstawicieli rodzaju Gekko (Gekko gecko, Gekko vittatus), a także u Geckonia chazaliae.
Obecność leptyny stwierdzono w tkance tłuszczowej, osoczu i wątrobie jaszczurki sycylijskiej (Podarcis sicula) należącej do jaszczurek właściwych. Leptyna występuje również w żołądkach innych gadów: zaskrońca żmijowego (Natrix maura) i kolejnej jaszczurki właściwej (Podarcis hispanica).
Większość wymienionych powyżej badań było realizowanych z wykorzystaniem metody jaką jest immunohistochemia (IHC). Jest to technika mikroskopowa stosowana na całym świecie. Umożliwia ona uwidocznienie w tkankach rozmaitych organizmów różnych substancji, między innymi hormonów. W immunohistochemii preparat (skrawek tkanki) jest poddawany szeregowi barwień które finalnie nadadzą poszukiwanej substancji brązową barwę znacznie odróżniającą komórki wydzielające tę substancję od pozostałych.
Na Uniwersytecie Przyrodniczym w Poznaniu w Katedrze Fizjologii i Biochemii Zwierząt prowadzone są badania dotyczące hormonów regulujących pobieranie pokarmu u gadów. Główną metodą eksperymentalną jest właśnie immunohistochemia. Materiałem dla tych badań są tkanki przewodu pokarmowego (w szczególności żołądka i jelita cienkiego) oraz trzustki jaszczurek właściwych. Zespół badawczy szczególny nacisk kładzie zwłaszcza na wykrycie hormonów: greliny, obestatyny oraz leptyny z uwagi na ich znaczącą rolę w organizmie oraz stale opisywane nowe funkcje.
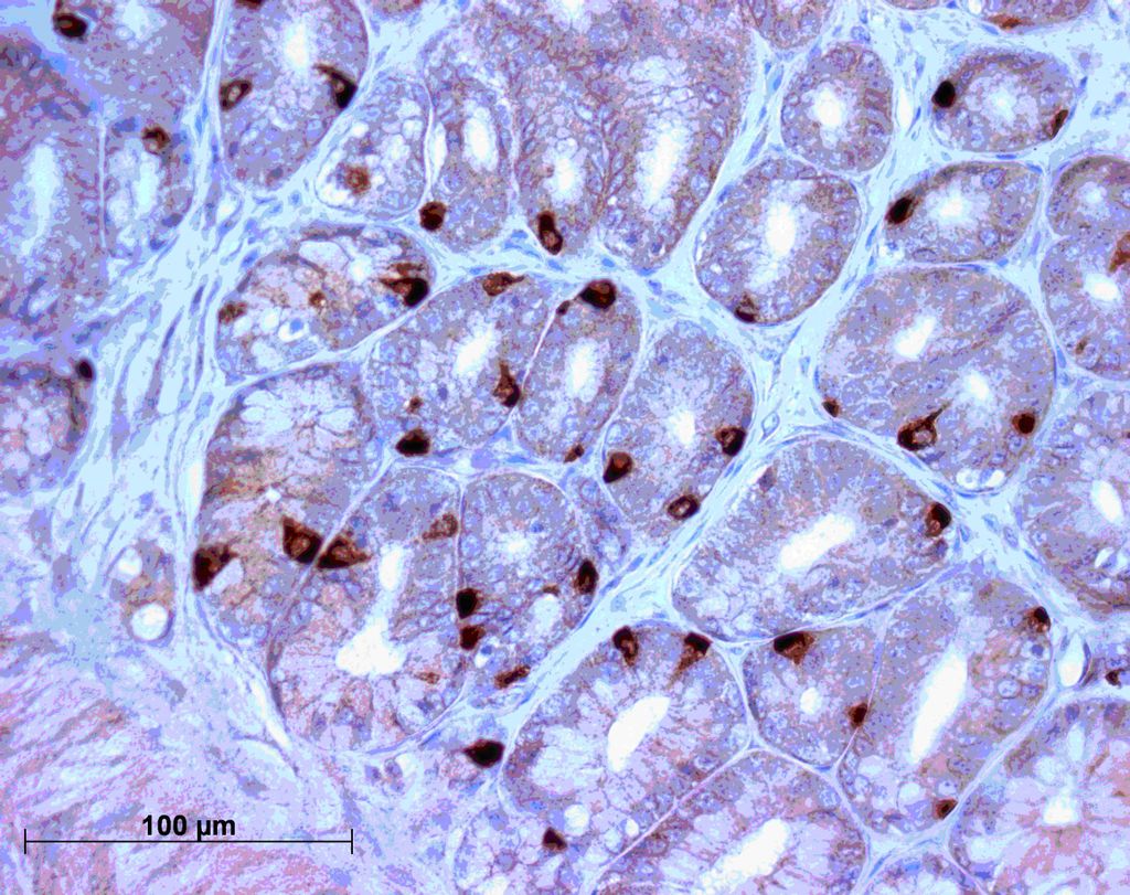
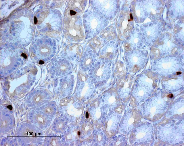
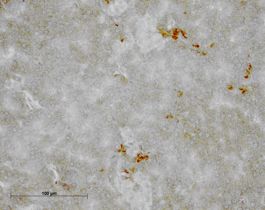
Komórki wydzielające poszczególne hormony przedstawione na zdjęciach są barwy intensywnie brązowej.
Dotychczas stwierdzono występowanie komórek wydzielających grelinę (fot. 1), obestatynę (fot. 2) oraz somatostatynę (fot. 3) w żołądku jaszczurek właściwych. Komórki wydzielnicze w tkankach żołądka zlokalizowane były w odźwierniku (większość) i w dnie.
W jelicie cienkim zlokalizowano grelinę (fot. 4), obestatynę (fot. 5) oraz bardzo zróżnicowane komórki wydzielające somatostatynę (fot. 6).
Wyspy trzustkowe jaszczurek właściwych mają bardzo nieregularny (fot. 7-8 – wyspy trzustkowe obrysowano niebieską przerywaną linią) kształt prawdopodobnie charakterystyczny dla gatunku. Struktury te wydzielają grelinę (fot. 9), obestatynę (fot. 10), somatostatynę (fot. 11), insulinę (fot. 12), glukagon (fot. 13) oraz polipeptyd trzustkowy (fot 14).
Aby ukazać wygląd struktury jaką jest wyspa trzustkowa jaszczurek wykonano preparat sekwencyjny (pochodzący z trzech kolejno po sobie następujących warstw tkanki). Obszar zajmowany przez wyspę trzustkową jaszczurki uwidoczniony został przy pomocy trzech hormonów: insuliny, glukagonu i somatostatyny. Na zdjęciach zmieniono kolory a następnie nałożono je na siebie. Dzięki temu na czerwono widoczny jest glukagon, na żółto somatostatyna, na zielono natomiast insulina (fot. 15).
W innych badaniach nad jaszczurką sycylijską (Podarcis sicula sicula) zaznaczono także, iż etap cyklu rocznego znajduje odzwierciedlenie w poziomie glukozy we krwi – zaczyna on wzrastać wczesna wiosną i osiąga najwyższy poziom w lipcu. Najprawdopodobniej więc zmiany te podyktowane są aktywnością komórek A i B trzustki.Naukowcy z Uniwersytetu Przyrodniczego w Poznaniu sądzą iż hormony jak grelina, leptyna i obestatyna mogą odgrywać znaczącą rolę w regulacji aktywności sezonowej gadów. Rozumując w ten sposób można podejrzewać, iż w początkowym okresie aktywności sezonowej gadów zamieszkujących strefę umiarkowaną aktywne będą przede wszystkim komórki wydzielające hormony pobudzające apetyt (na przykład grelinowe), natomiast w okresie gasnącej aktywności – tuż przed hibernacją aktywne będą komórki odpowiedzialne za wydzielanie hormonów anorektycznych (jak leptyna) lub obestatyny. Taki rodzaj regulacji aktywności sezonowej gadów strefy umiarkowanej byłby bardzo dobrym wyjaśnieniem ich behawioru w okresie późnoletnim czy jesiennym. W okresie tym gady coraz rzadziej pobierają pokarm, a ich aktywność dobowa spada. Takie zachowanie jest konieczne dla oczyszczenia przewodu pokarmowego z zalegającej treści, która ulegając rozkładowi w trakcie hibernacji mogłaby zagrozić życiu zwierzęcia.
Hormonu leptyny niestety nie udało się wykryć w badaniach prowadzonych przez Uniwersytet Przyrodniczy, jednak wcześniejsze eksperymenty wykazały obecność leptyny w żołądkach i tkance tłuszczowej gadów. Należy więc dopuścić prawdopodobieństwo tego, iż cykliczne zmiany sezonowe uniemożliwiły wykrycie obecności leptyny w okresie, w którym badano jaszczurki. Jak donoszą inni naukowcy poziom leptyny zmienia się w trakcie cyklu płciowego gadów, co niekiedy uniemożliwia potwierdzenie jej obecności. Wzrost wydzielania leptyny u gadów strefy umiarkowanej w okresie późnoletnim i jesiennym rozważa się jako prawdopodobnie związany z ograniczeniem aktywności żerowej poprzedzającym okres spoczynku zimowego (hibernacji).
Badania nad hormonami regulującymi pobieranie pokarmu u gadów prowadzone na Uniwersytecie Przyrodniczym w Poznaniu są kontynuowane. Badania rozszerzono na inne grupy gadów oraz płazy.
Opracowanie i źródła informacji
Przemysław Szwajkowski „Morgan”
Uniwersytet Przyrodniczy w Poznaniu
Wydział Hodowli i Biologii Zwierząt
na podstawie badań prowadzonych w Katedrze Fizjologii i Biochemii Zwierząt Uniwersytetu Przyrodniczego w Poznaniu
Copyright by Przemysław Szwajkowski 2010
Wszystkie prawa zastrzeżone. Zgodnie z prawem o ochronie praw autorskich do własności intelektualnej [Dz.U.1994r.Nr24poz.83; Dz.U.2000r.Nr80poz.904] zabrania się, bez zgody autora, modyfikowania, kopiowania i rozpowszechniania całości bądź też fragmentów niniejszej pracy. Zastrzeżono nienaruszalność treści i formy artykułu.
Liczba wyświetleń: 3660




(13 votes, average: 3,85 out of 5)


































