Kategoria omawia specyfikę opieki medycznej nad krokodylami, w tym diagnostykę chorób, profilaktykę infekcji i urazów, a także aspekty żywienia oraz zarządzania środowiskiem hodowlanym. Materiały adresowane do weterynarzy i hodowców tych dużych gadów.

Loading...
Historia antyseptyki jest stosunkowo krótka bo ma zaledwie 150 lat. Podwaliny podłożył Ludwik Pasteur…
// nook: sidebar adcode ?>

Loading...
Neurologia jest trudną dziedziną medycyny, zarówno w odsłonie ludzkiej, jak i weterynaryjnej. Złożoność budowy…

Loading...
Roztocza są jednymi z najczęściej występujących ektopasożytów u gadów. Rozpoznano ponad 250 gatunków roztoczy…
// nook: sidebar adcode ?>

Loading...
W okresie letnim częstymi pacjentami przychodni weterynaryjnej są przegrzane gady. Dlaczego i jak do…

Loading...
Gady są zwierzętami zmiennocieplnymi, które wymagają odpowiedniego zakresu temperaturowego. Każdy gatunek ma swoje preferowane…
// nook: sidebar adcode ?>

Loading...
IBD (inclusion body disease) jest ciężką, nieuleczalną chorobą węży. Szczególnie zagrożone są węże z…

Loading...
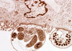
Po raz pierwszy zostały one opisane w 1907 roku przez Ernesta E. Tizzer’a (2,…
// nook: sidebar adcode ?>